「ほぼ削らずに見違える」
歯科美容の新たな選択肢
最短1週間で、
自信に満ちた美しい笑顔に
「芦屋ひだまり矯正歯科クリニック」のホームページにお越しくださり、ありがとうございます。
当院は、気になる歯の色や形を、美しく自然に整えたい方のためのクリニックです。
このようなお悩みをお持ちではありませんか?
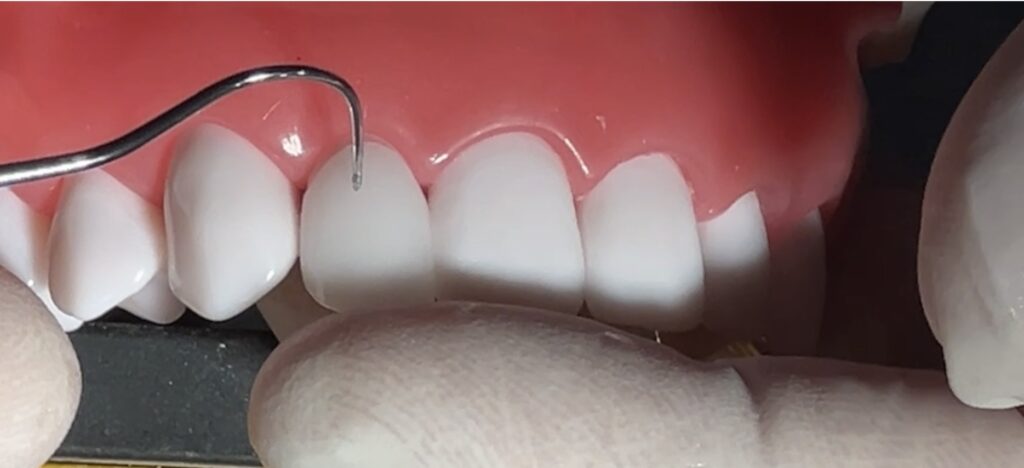
当院でご提供するミニッシュは、歯をわずか0.1~0.3mm削ることで、色や形を理想に近づける技術。 歯を最低限削るだけで、自然な美しさを短期間で叶えることが可能です。 「歯にできるだけ負担をかけずに綺麗になりたい」「短期間で結果がほしい」という方は、ぜひご一読いただければと思います。 こんにちは。「芦屋ひだまり矯正歯科クリニック」院長の飛田達宏です。 歯科医師として23年、開業して16年、これまで7800名以上の患者さまに向き合い、ひとつひとつのお悩みに耳を傾けてきました。 特に得意としてきたのは、マウスピース矯正。 500名を超える方々の歯並びを整えてきました。 しかし、治療を続ける中で、もう一歩踏み込んで患者さまの笑顔に寄り添いたい——そんな思いが次第に強くなります。 もっと、美しい歯になるサポートができたら。 患者さまを思ってたどり着いたのが、このページでご紹介する「ミニッシュ」です。 「ミニッシュ」は、歯の色や形を自然に整えるための新しい選択肢。 韓国で誕生したまだ希少な技術で、日本で扱える医院はわずか15院ほど。 兵庫県では当院が2番目、西日本でもまだ数えるほどしかありません。 なぜわたしがそのミニッシュを導入しようと決意したのか。 その背景を少しお話しさせていただきます。 ここ5年ほど、マウスピース矯正後の定期検診で患者さんに接するたび、ある思いが心に残るようになりました。 それは、 「歯並びは綺麗になった。でも、もっと満足してもらうにはどうすればいいのか?」 ということでした。 矯正後は、多くの方が「歯の色を白くしたい」と希望されます。 しかし、ホワイトニングではどうしても色の限界があります。 もっといい方法はないのだろうか? 情報を探し最初に試したのは、一般的な「セラミッククラウン」という方法でした。 たしかに見た目は整いますが、どうしても歯を多く削らなければなりません。 その点が、どうしても納得できませんでした。 「健康な歯を守りながら、理想の見た目を叶える方法はないのだろうか?」 そんな中で出会ったのが、韓国で誕生した「ミニッシュ」という技術でした。 初めてセミナーを受けたときの衝撃は、今でもはっきり覚えています。 「ほとんど歯を削らずに、色も形もここまで変えられるのか」 そう素直に思えるほど感動したのです。 矯正で歯並びが整うと、人は自然と笑顔が増え、自信が生まれます。 しかし、その次に気になってくるのが歯の色や形。 多くの患者さまが同じ悩みを抱えています。 とはいえ、歯をたくさん削る施術だと「怖い」と感じ踏み出せないのも当然です。 ミニッシュはそんな“無理なく美しくなりたい”という方にこそ試していただきたい、新しい選択肢です。 矯正で手に入れた自信をさらに輝かせるために。 当院はミニッシュという技術で、そのお手伝いをさせていただきます。 歯を綺麗にするために、あなたはこれまで以下のような方法を検討されたのではないでしょうか。 「矯正で歯並びがよくなれば、自信を持って笑えるはず」 そう思って治療を受けたのに、鏡を見るとなぜかまだしっくりこない……。 そんな経験がある方は少なくありません。 では、なぜ歯並びが整っているのに、満足できないのでしょうか? その理由は、とてもシンプル。 歯の“色”と“形”が変わっていないからです。 矯正は歯の位置を動かすだけで、白さや形までは変えられません。 ホワイトニングは白くなるものの、「思っていたより白くならない」と感じる方が多く、限界があります。 セラミッククラウンなら色・形は変えられますが、歯をたくさん削る必要があるというリスクがつきまとい、多くの方が躊躇されます。 つまり、矯正だけ、ホワイトニングだけなど、従来の方法だけでは芸能人のような「本当に美しい歯」には届かないのです。 理想の笑顔を手に入れるには、歯並びだけでなく、歯の色・形まで整えること。 これこそが、あなたの笑顔を輝かせるために欠かせない視点なのです。 これらを踏まえ、当院では、今まで以上に歯並び、歯の色、歯の形を整え、あなたがさらに自信を持って笑えるようお手伝いいたします。 当院がご提供する「ミニッシュ」では、歯を削るのはわずか0.1~0.3mm。 必要以上に歯を傷つけることなく、白さや形を理想に近づけることができます。 初回は検査、2回目にじっくりカウンセリング、3回目で治療へ。 早い方なら1週間ほどで治療を終了していただけるでしょう。 「もう歯を見せるのが恥ずかしくない」 そんな日常を、あなたも手に入れることができます。 歯のコンプレックスから解放され、堂々と笑える未来を、あなたにお約束いたします。 ミニッシュは、色・形・歯並びを短期間で総合的に整えられる、革新的な技術です。 最短3回の通院、早い方なら1週間ほどで「見た目の変化」を実感していただけます。 歯をほとんど削らないため、「セラミッククラウンは削る量が多く、不安で踏み出せなかった」という方にも安心して選ばれています。 負担を減らしながら、美しく自然な歯を手に入れたい方に最適です。 ミニッシュはまだ国内で扱える医院が少なく、全国で約15院ほど。 兵庫県では当院が2院目、神戸エリアでは初の導入です。 西日本全体でも、数えるほどしかありません。 「韓国まで行かなくても最新の技術が受けられる」 これも当院が多くの方に選ばれている理由です。 さらに、最短3回で治療が完了するため、遠方から通う際も負担が少ないと喜ばれています。 もしミニッシュだけでは理想に届かないと判断した場合、当院ではマウスピース矯正の提案も可能です。 500件以上の矯正治療を担当してきた院長が、 「ミニッシュだけでいいのか」 など、あなたにとって最適な方法を、正直に、丁寧にご提案します。 色・形・歯並びまで、一つのクリニックで“総合的に綺麗”を実現できる。 それが当院の強みです。 初回のカウンセリングでは、30分かけてお悩みやご希望をしっかり伺います。 また、検査結果の説明には1時間以上かけることもあるほど、丁寧なご説明を大切にしています。 専用のカウンセリング室には、カウンセラーが常駐。 「きちんと理解し、納得してから治療を受けたい」という方にも安心してご利用いただけます。 「説明がわかりやすい」 そんな声を多くいただいており、患者さまからの紹介で来院される方も少なくありません。 当院では、不安を安心に変えられるよう、接遇やコミュニケーションを大切にしています。 初めての方でも居心地のよさを感じていただける、そんなクリニックを目指しています。 「歯医者さんはなんとなく苦手」という方でも、安心してお越しください。 患者さまを笑顔でお迎えします。お約束の日時にお越しください。 初回のご来院では、カウンセリングシートをご記入いただきます。 カウンセリングシートを書いていただくためのお席にご案内します。 またカウンセリングシートをもとに、お話を伺います。 レントゲン写真や歯の写真をお撮りしていきます。 検査結果を軽くご説明いたします。 検査が終わりましたら、お会計をします。 検査で撮影した歯の写真やレントゲン写真をもとに、検査結果をお伝えします。 また、当院で作成した治療計画書をもとに、治療計画をご説明いたします。 ※遠方からお越しの患者さまには、お時間いただければ、検査当日に治療計画書を作成し、ご説明することも可能です。 検査結果と治療計画にご納得いただければ、ミニッシュを歯に付けるための準備をします(必要なら0.2mm程度ですが歯を削ります)。 そして歯型を採ります。 ミニッシュを歯に付けます。 ミニッシュ:1本 150,000円+税 A.痛みはほとんどありません。というのも、歯を削る量が0.2mmと非常に少ないためです。 A.必要な場合は仮歯を付けます。 ただ、歯を削る量が0.2mmと非常に少ないため、必要ないことがほとんどです。 A.治療できます! ひだまり歯科は日本全国でも10件ほどの数少ない「ミニッシュ提携歯科医院」なので、わざわざ韓国まで行かなくても、日本で、ひだまり歯科で治療を受けることが可能です。 ご予約・お問い合わせは、WEB、LINE、またはお電話で受け付けております。
0797-34-8188 あらためまして、院長の飛田達宏です。 最後に、これまでの診療で特に心に残っている、ひとりの患者さまのお話をさせてください。 その方は、70代の女性でした。 「年齢を重ねるにつれて、歯の色や欠けが気になって……」と、少し恥ずかしそうにお話ししてくださったのをよく覚えています。 そこで、20本のセラミッククラウン治療を行い、歯全体を整えることになりました。 治療が終わり、鏡を見ていただいた瞬間、その方は心からの笑顔で喜んでくださったのです。 「歯がボロボロなのが気になっていたけど、思い切って治療してよかった」といううれしいお言葉も。 その表情を見たとき、「歯が変わることで人生が豊かになる」ということを、あらためて深く感じました。 そして同時に、「歯を美しく整えることに、年齢の制限はない」ということを教えていただいた出来事でもありました。 患者さまが治療後、鏡を見て、 「こんなに綺麗になるなんて!」 と喜んでくださる瞬間ほど、歯科医師としてのやりがいを強く感じる瞬間はありません。 もしあなたが今、歯の色や形、歯並びにコンプレックスを抱えていたり、結婚式や撮影などに向けて短期間で綺麗になりたいと悩んでいるのなら、ぜひわたしたちにご相談ください。 「芦屋ひだまり矯正歯科クリニック」という名前には、“ひだまりのように、あたたかい笑顔があふれる場所でありたい”という願いを込めています。 どんなお悩みでも大丈夫です。 まずは、あなたのお話を聞かせてください。 技術の確かさ、そして短期間で綺麗に導く経験と自信があります。 ミニッシュなら、最短1週間であなたの笑顔が変わり始めます。 あなたが自信を持って、思いっきり笑える未来へ。 その未来を、わたしたちと一緒に手に入れませんか。 あなたからのご連絡を、心よりお待ちしております。 「芦屋ひだまり矯正歯科クリニック」院長・飛田達宏
歯の“総合的な美しさ”を叶えるクリニック

韓国発祥の「ミニッシュ」という技術
患者さまの「より美しく」に応えるために
「自分だったら迷わずこの治療を受けたい」
「家族にもすすめたい」美しい歯を手に入れるための新しい選択肢
歯並びが綺麗でも自信を持って笑えないのはなぜ?

今まで以上に素敵な笑顔を目指しませんか?

「自然と笑顔が増えた」「芦屋ひだまり矯正歯科クリニック」のミニッシュが選ばれる理由

①短期間で“理想の綺麗”を実感できるから
②日本国内でも希少な技術を受けられるから
③歯列矯正も含めた総合的な治療を提案してもらえるから
「矯正を併用した方がよいのか」④丁寧なカウンセリングで納得して進められるから
⑤あたたかく、通いやすい雰囲気だから
「スタッフの雰囲気が優しい」治療の流れ
1日目
①来院

②初診カウンセリング

③検査

④説明

⑤ご予約とお会計

また次回、検査結果をもとに、詳しい治療計画や費用をお伝えしますので、そのご予約をお取りいただきます。2日目
⑥治療計画カウンセリング

3日目
⑦治療準備

4日目(前回から約1週間後)
⑧治療

メニュー・料金

こんな方におすすめ
お支払方法
よくあるご質問

Q.歯を削る時、痛くないですか?
Q.歯を削ってからミニッシュを付けるまで、仮歯などは付けてもらえますか?
Q.韓国でしかできないと思っていましたが、日本でも治療できますか?
ご予約・お問い合わせ

WEB予約はこちら
公式LINEはこちら
お電話はこちら
最後に

クリニック案内

院名
芦屋ひだまり歯科矯正クリニック
所在地
兵庫県芦屋市公光町7-11
診療時間
8:45~12:30 13:45~17:30
定休日
水・日・祝
駐車場
近隣タイムズと提携しています